機器人視覺將在國民經濟的各領域申發揮更大作用,其應用前景廣闊,并為社會的發展帶來了新的技術革命。目前,最先進的機器人視覺技術仍然由歐美、日本等國家掌握,發達國家針對工業現場的應用開發出了相應的機器人視覺軟硬件產品。中國目前正處于由勞動密集型向技術密集型轉型的時期,對提高生成效率、降低人工成本的機器視覺方案有著旺盛的需求,中國正在成為機器人視覺技術發展最為活躍的地區之一。許多具有國際先進水平的機器人視覺系統進入了中國,國內的機器人視覺企業也在與國際機器人視覺企業的良性競爭中不斷茁壯成長,許多大學和研究所都在致力于機器人視覺技術的研究。
機器視覺行業專利申請方面,根據智慧芽、前瞻產業研究院整理的數據,國內全球機器視覺行業專利申請數量最多的是華南理工大學。

在國外,機器人視覺主要應用在半導體及電子行業,其中,半導體行業占 40% ~ 50%。例如,PCB 印刷電路、SMT表面貼裝、電子生產加工設備等。此外機器人視覺還在質量檢測的各方面及其他領域均有著廣泛應用。
01、在工業檢測方面

近幾十年來,在工業檢測中利用視覺系統的非接觸、速度快、精度合適、現場抗干擾能力強等突出的優點,使機器人視覺技術得到了廣泛的應用,取得了巨大的經濟與社會效益。
自動視覺識別檢測目前已經用于產品外形和表面缺陷檢驗,如木材加工檢測、金屬表面視覺檢測、二極管基片檢查、印刷電路板缺陷檢查、焊縫缺陷自動識別等。這些檢測識別系統屬于二維機器視覺,技術已經較為成熟,其基本流程是用一個攝像機獲取圖像,對所獲取的圖像進行處理及模式識別,檢測出所需的內容。
02、在醫學上的應用

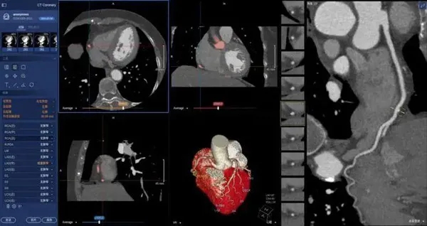
在醫學領域,機器視覺主要用于醫學輔助診斷。首先采集核磁共振、超聲波、激光、X射線、γ射線等對人體檢查記錄的圖像,再利用數字圖像處理技術、信息融合技術對這些醫學圖像進行分析、描述和識別,最后得出相關信息,對輔助醫生診斷人體病源大小、形狀和異常,并進行有效治療發揮了重要的作用。不同醫學影像設備得到的是不同特性的生物組織圖像,如X射線反映的是骨骼組織,核磁共振影像反映的是有機組織圖像,而醫生往往需要考慮骨骼有機組織的關系,因而需要利用數字圖像處理技術將兩種圖像適當地疊加起來,以便于醫學分析。
03、交通監控領域中的應用

智能交通監控領域中,在重要的十字路口安放攝像頭,就可以利用攝像頭的快速拍照功能,實現對違章、逆行等車牌的車牌進行自動識別、存貯,以便相關的工作人員進行查看。
04、在橋梁檢測領域中的應用

人工檢測法和橋檢車法都是依靠人工用肉眼對橋梁表面進行檢測,其速度慢,效率低,漏檢率高,實時性差,影響交通,存在安全隱患,很難大幅應用;無損檢測包括激光檢測、超聲波檢測以及聲發射檢測等多種檢測技術,它們儀器昂貴,測量范圍小,不能滿足日益發展的橋梁檢測要求;智能化檢測有基于導電性材料的混凝土裂縫分布式自動檢測系統和智能混凝土技術,也有最前沿的基于機器視覺的檢測方法。導電性材料技術雖然使用方便,設備簡單,成本低廉,但是均需要事先在混凝土結構上涂刷或者埋設導電性材料進行檢測,而且智能混凝土技術還無法確定裂縫位置、裂縫寬度等一系列問題距實用化還有較長的距離;而基于機器視覺的檢測方法是利用CCD相機獲取橋梁表觀圖片,然后運用計算機處理后自動識別出裂縫圖像,并從背景中分離出來然后進行裂縫參數的計算的方法,它具有便捷、直觀、精確、非接觸、再現性好、適應性強、靈活性高、成本低廉的優點,能解放勞動力,排除人為干擾,具有很好的應用前景。
機器人視覺的誕生和應用,大幅解放了人類勞動力,同時提高了生產自動化水平,裝備的使用效率、可靠性及穩定性等。隨著新技術、新理論在機器視覺系統中的應用,機器人視覺將在國民經濟的各領域申發揮更大作用,其應用前景廣闊,并為社會的發展帶來了新的技術革命。
